

Why do people choose Invisalign Aligners when looking to straighten their teeth?
We understand many adults avoid orthodontic treatment because they don’t want to wear the metal wires and brackets used in traditional braces. Invisalign aligners are made of clear plastic that is virtually invisible and does not affect the appearance of your smile.
Are Invisalign Clear Braces the right choice for you?
Are you a candidate for Invisalign Aligners? Find out with a consultation today!
What You Get
-
Learn if Invisalign is right for you, and what your treatment plan might look like.
-
Learn how the Invisalign process works.
-
Learn how our financing options can help to make your Invisalign treatment more affordable.
-
1-on-1 time with our Invisalign coordinator to ask all your questions.
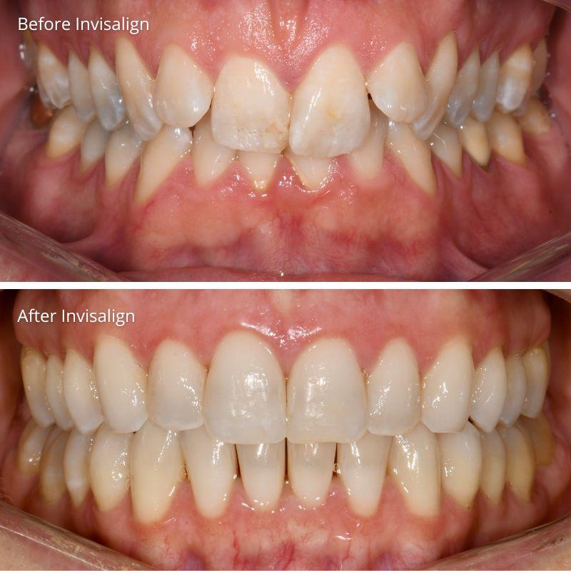
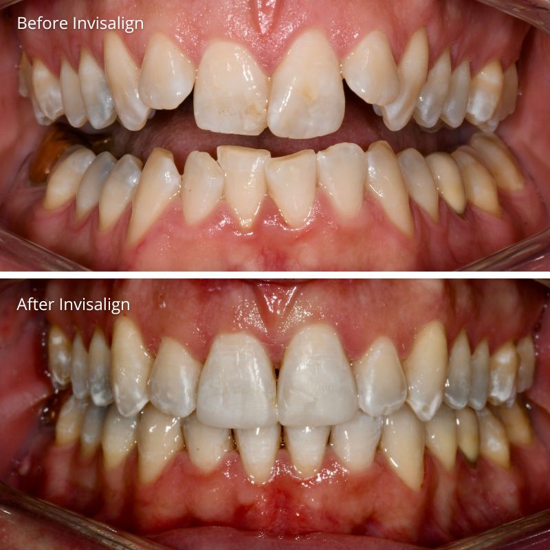
Before & after Invisalign Orthodontic treatment at Princess Elizabeth Dental

Before Invisalign treatment

Before Invisalign treatment

Before Invisalign treatment

After Invisalign treatment

After Invisalign treatment

After Invisalign treatment
Who is a good candidate for Invisalign Braces?
If you have mild to moderate dental misalignment, Invisalign braces will probably work for you. To achieve the right results you need to commit to wearing your aligners for 20-22 hours each day. In addition we need to ensure that you have healthy teeth and gums before we start any treatment. And finally, if you have severe misalignment you may need to opt for traditional braces. All of this can be discussed with you during your initial Complimentary Invisalign Consultation.
What to expect with Invisalign at Princess Elizabeth Dental
Meet Your Invisalign Dentist, Sara
Frequently asked questions about Invisalign Clear Aligner treatment
-
How much does Invisalign cost?
The cost of your Invisalign clear aligner treatment will depend on your specific case the duration of your treatment. The more severe the issue, for example, the more aligners you would require and the more your treatment will cost. -
Will Invisalign restrict what I can eat and drink?
No, your Invisalign aligners are removable, meaning you easily remove them whilst you eat. You can continue to eat all the foods you love during treatment. To avoid staining your clear aligners, we recommend removing them when you drink beverages such as wine, coffee, or dark soda drinks. -
Can adults have Invisalign treatment?
Yes, anyone with healthy teeth and gums could be suitable for Invisalign treatment. Age is not necessarily a barrier. In fact, many adults are deciding to move forward with straightening treatment because there are discreet options like Invisalign available.
See The Results Of Invisalign For Yourself!

Before & after Invisalign treatment

Before & after Invisalign treatment

Before & after Invisalign treatment
Maintaining your teeth alignment
Once you complete your Invisalign orthodontic treatment, we will provide a dental retainer to protect your newly straightened smile. For the best possible results, you should wear your retainer every night and take it with you when you travel. Your retainer is a medical device that should be carefully stored and transported. Keep your device in a hardshell case and clean it thoroughly every morning to prevent bacteria buildup.
